历时近8小时,北京博爱医院普外科徐青主任和刘文国副主任医师带领团队,麻醉科王强主任亲自麻醉,手术室、普外科护理团队共同协助,凭借丰富的经验和高超精准的外科技术,最终有惊无险的为49岁的马女士完全切除了腹膜上后巨大肿瘤,解除了这颗大如皮球“这颗定时炸弹”。
今年49岁的马女士平时生活健康,饮食锻炼都非常规律,身体也从来没出现过什么大毛病。有一天,她突然感觉腹部胀痛,这让马女士心里犯起了嘀咕,于是来到了北京博爱医院就诊。经过全面的检查,发现她的左腹膜后有个非常大的肿瘤占位。
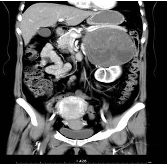
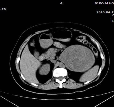
这个肿瘤直径21厘米,长在左侧肾脏上方的位置,周围血管丰富,与下腔静脉、肠系膜上、下静脉、脾动静脉、左肾动静脉关系密切,手术难度极高,术中稍有不慎便会危及生命。


徐主任得知此消息后,带领团队对马女士的身体状况进行了全面检查并作出精准评估,尽管手术风险极高,面对患者及家属的坚定与决心,他们的目标只有一个——尽最大努力安全可靠的将肿瘤切除。术前,刘文国副主任医师及石青青医生对于患者及家属进行了心理辅导,并向患者家属交代有左肾切除的可能。
全科医师及麻醉科等MDT团队在医务处的协调下多次进行了术前讨论,对手术前准备细节及手术方案进行了详细的讨论,并形成了预案。普外科党小组也多次通过查房、会诊对患者病情进行了详细分析。手术前,麻醉科、手术室、ICU、普外科也对器械、物品等进行了认真的准备。
2018年4月23日,王强主任麻醉,徐青主任主刀,第一助手刘文国副主任医师,第二助手石青青医师,第三助手范荣富医师,成功开腹后一个庞然大物出现在医生们的眼前,肿瘤与下腔静脉、肠系膜上、下静脉、脾动静脉、左肾动静脉粘连较重,这些血管像八爪章鱼一样将肿瘤紧密缠绕在中间,肿物内有血肿和血块形成,术中测量肿瘤最大直径达21厘米。徐青主任带领团队成员密切配合,耐心细致的将下腔静脉、肠系膜上、下静脉、脾动静脉、左肾动静脉与肿瘤剥离开来。

术后患者安返病房,在普外科孙凤梅护士长的带领下,护理团队对于马女士的病情变化进行了严格的监控,术后马女士情绪比较焦虑,孙护士长每天都耐心的开导她。经过普外科医护全力的治疗,术后两周,马女士顺利康复,开心的出院了。

徐青主任介绍,此次手术的成功是对MDT团队的挑战与考验。手术的成功既需要高超的技术,更需要认真细致的准备与团队协作,也与患者及家属的高度信任密不可分,只有当医生与患者紧密的团结起来,才能有效的对抗疾病,构建真正和谐的医患关系。